QQ登录

只需一步,快速开始

登录 | 注册 | 找回密码

三维网

 找回密码
 注册

QQ登录

只需一步,快速开始

展开

通知     

查看: 1584|回复: 5
收起左侧

[讨论] 锰钢中的异常组织

[复制链接]
发表于 2009-11-19 08:42:06 | 显示全部楼层 |阅读模式 来自: 中国吉林长春

马上注册,结识高手,享用更多资源,轻松玩转三维网社区。

您需要 登录 才可以下载或查看,没有帐号?注册

x
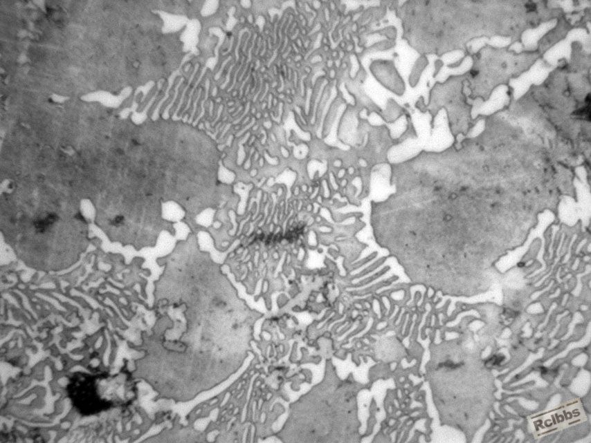
现在是铸态组织,成分是按照C1.0 Mn9配的。只有局部部位是这样的组织
# h; _# Q. O4 N% E  g2 r向大家讨教
DSCN6134-1.jpg
DSCN6143-1.jpg
 楼主| 发表于 2009-11-19 13:04:45 | 显示全部楼层 来自: 中国吉林长春
怎么没人响应呢
发表于 2009-11-19 21:07:03 | 显示全部楼层 来自: 中国山东莱芜
应该是形成的网状碳化物
发表于 2009-11-19 21:09:06 | 显示全部楼层 来自: 中国山东莱芜
铸态组织中出现这种状态那就是典型的C、Mn 的偏析了,可以参照标准制取标准试验进行偏析检测看看
发表于 2009-11-19 22:29:48 | 显示全部楼层 来自: 中国甘肃嘉峪关
可以肯定是碳化物
 楼主| 发表于 2009-11-21 21:23:21 | 显示全部楼层 来自: 中国吉林长春
可以确定这是什么碳化物吗?能解释下的它的可能形成原因吗?
发表回复
您需要登录后才可以回帖 登录 | 注册

本版积分规则


Licensed Copyright © 2016-2020 http://www.3dportal.cn/ All Rights Reserved 京 ICP备13008828号

小黑屋|手机版|Archiver|三维网 ( 京ICP备2023026364号-1 )

快速回复 返回顶部 返回列表